友情提示
本站部分转载文章,皆来自互联网,仅供参考及分享,并不用于任何商业用途;版权归原作者所有,如涉及作品内容、版权和其他问题,请与本网联系,我们将在第一时间删除内容!
联系邮箱:1042463605@qq.com
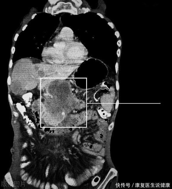
这4种癌症藏得很深,发现时大多数是晚期,切记别忽略这些信号
57
0
相关文章
近七日浏览最多
最新文章
标签云
健康
食管癌
恶性肿瘤
癌症
肿瘤
癌变
抗癌
病友
小太阳
向阳而生
项目管理
教授
t细胞
诺贝尔奖
坂口志文
日本
坂口
科学
免疫系统
免疫刹车
幽门
胃镜
李雪琴
胃息肉
口腔癌
美国
丹娜
有毒化学物质
密歇根州立大学
ct
院方
检查室
内部调查
患者隐私
四川省人民医院
体检
肾癌
漏诊
爱康集团
爱康国宾
英国
治疗
威廉王子
凯特王妃
凯特奥斯顿
辛柏青
黄晓明
演员朱媛媛
挂号
外科
医患
全胃
老人
胃炎
李医生
李婷
陈晓旭
李媛媛
张子健
肺癌
手术
肝癌
胃癌
全国肿瘤
前列腺癌
乔拜登
拜登
前列腺
前总统
彭皓锋
直肠癌
莫莉
妮基
医生
死前
真事改编
尺度爆炸
爱情
女儿
韩剧
失忆
家庭剧
白宫
脑癌
特勤局
丹尼尔
共和党
克林顿
国会演讲
民主党人
唐纳川普
中国
腺癌
空气污染
放疗
薛静
研究生
轮椅
翻译
人生
张海迪
咖啡
网红
患癌
化疗
百万粉丝
果糖
水果
蔗糖
脱酸剂
柠檬酸
砂糖橘
nature
直播
小凡
小超人
治疗费
细胞瘤
阿桑
歌曲
唱片
演唱者
寂寞在唱歌
一直很安静
预后
灰太狼
吸烟
华科大
心血管疾病
涂磊
胡子
结婚
免疫
癌细胞
放化疗
宣美
白血病
淋巴癌
关关
沈玉琳
吴宗宪
康熙来了
一路繁花
霍奇金
淋巴结肿大
放射性物质
淋巴瘤
皮肤瘙痒
健康生活方式
心理健康
心肌梗死
心肌缺血
胰腺癌
附一院
细胞
清明
今日头条
汪雨
富家千金
情深深雨濛濛
谷歌
微软
app
苹果公司
创新工场
李开复
中国人
过度肥胖
接种疫苗
淋巴细胞
医院
盗汗
美妆博主
法官
法庭
弗兰克
卡普里
子豪
胆管癌
柯家豪
瑞典
拉齐奥
胰脏癌
英格兰队
本菲卡队
爱利克埃里克森
含糖饮料
大便
吞咽困难
体重
急性
强直性脊柱炎
主动脉夹层
糖尿病
黑神话悟空
胰岛素
十二指肠
黄曲霉毒素
致癌物质
亚硝基化合物
胃镜检查
胆汁
胆红素
消化道出血
消化道肿瘤
炎症
溃疡性结肠炎
肠梗阻
酸碱平衡
肠道
腹泻
肠镜检查
不良习惯
热爱运动
健康食品
有氧运动
馄饨
病变
京都大学
新生儿
甲状腺癌
造血干细胞
营养物质
声音嘶哑
放射治疗
鼻咽癌
免疫治疗
我们来了
口腔溃疡
口腔
肩周炎
肩膀
甲状腺结节
超声检查
甲状腺
艾滋病
病毒
潜伏
家长
抗生素
甲状腺肿大
健康长寿
癌前病变
预防肿瘤
慢性疾病
是真的吗
食物中毒
甲状腺肿
失联
后事
同学家
重庆市
单亲父亲
脂肪肝
肝病
肝硬化
高血压
陈卫国
六姊妹
何妈妈
捉摸不透
没有时间
卫国
家文
老范
陈老太
陈光明
宁悦
周伟
秋子
胡成
耀峰
意难平
婚内婚外
乳酸菌
原发性肝癌
肝脏
冰箱
黄曲霉素
高蛋白食物
睡眠质量
睡眠时间
肝癌患者
一日三餐
维生素c
柚子
酒精肝
腹型肥胖
凝血功能
肝功能检查
病毒感染
肝损伤
凝血因子
茅台酒
少林寺
关节
类风湿性关节炎
疾病
陆伟
乙肝
icu
贵州
大飞
曹伟
遗体
回家乡
病毒性肝炎
慢性肝炎




