友情提示
本站部分转载文章,皆来自互联网,仅供参考及分享,并不用于任何商业用途;版权归原作者所有,如涉及作品内容、版权和其他问题,请与本网联系,我们将在第一时间删除内容!
联系邮箱:1042463605@qq.com
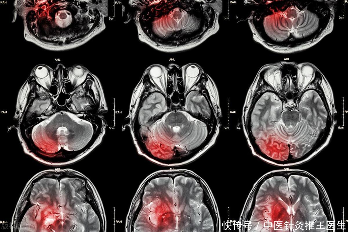
患上脑梗,还恢复健康吗?医生直言:6个后遗症,要提前了解清楚
48
0
相关文章
最新文章
标签云
中医
针灸
推拿
张凌赫
爱你韩国电视剧
徐若晗
古装戏
爱你王心凌专辑
社会
养老
养老服务
老年
护理
肝经
翁瑞午
徐志摩
四大美女
张幼仪
湖南中医药大学
社会实践活动
杭州
名门望族
安安
医院
app
鄢颇
婆婆
中药
车轮滚滚
穴位
睡眠质量
西点军校
膝关节
关节
无证之罪
秦昊
ipo
关联公司
医保
基金
北京
中医药
俄罗斯人
金马奖
钟楚曦
电影
科学
治疗
安慰剂
临床试验
安宫牛黄丸
茶饮
鱼干
小丫
玉石
柴怼
刑拘
价格鉴定
民国
杨右宁
茅子俊
热依扎
丁勇岱
商战剧
胶囊
制剂
散剂
乌头碱
云南白药
宠物用药
医学
中医药局长
国家中医药管理局
老中医
中医大会
凉茶
西药
广东
符水
安眠药
里加布洛芬
中医剧
影视剧
中成药
双盲试验
新适应症
医生
西医
双盲实验
全国肿瘤
注射液
注射剂
医学界
刺五加
输液
药膳
中西医
养生保健
国家中医药局
沈青
爱情
刘丽娜
我的后半生
止疼药
中医馆
西药药片
感冒灵
化学药
药品
针管
索命
冤魂
连花
神药
吴以岭
红霉素
以岭药业
衬衫
大衣
领带
毛衣
苏叶
运动风
牛仔外套
治愈
中草药
中医治疗
偶剧
偶像剧
爱情混搭
甘草
薄荷
艾叶
养生
淮山
凌霄
恋爱剧
草药
治癌
李时珍
医德
肺癌
肿瘤
成果库
神经系统疾病
宣扬
抗癌
儿科
药理
葛根
山楂
大枣
酸枣仁
北京市
进口药
仿制药
原研药
突破性治疗品种
中国游泳
奥委会
夺冠
纪念馆
美索不达米亚
公元前
考古学家
拿破仑
诺曼底登陆
滑铁卢
堕落天使
星星点灯
年轻的一代
赵云
老虎
重庆
明玉珍
朱元璋
韩国人
中国文化
甲骨文
历史的进程
日本人
野生动物
权力的游戏
秦国
秦始皇
统一六国
今日头条
狮子
古人
好事多磨
未婚生子
美国
自媒体
彩礼
婚姻
湖南人
常遇春
洪武
汉平帝
刘奭
王莽
汉哀帝
热火队
公牛队
韦德
心理健康
骑自行车
山东
书剑恩仇录
王菁华
张纪中
父母爱情
上错花轿嫁对郎
更上一层楼
崇祯皇帝
闯王李自成
李自成
大明王朝
崇祯
农民起义军
明朝皇帝
我们的生活
摄影
科比
艾弗森
nba
麦迪
辅助系统
智能驾驶
液晶仪表
华为
宁静
雍正
雍正王朝
乾隆帝
雍正帝
康熙
电视剧
安史之乱
童年时期
安禄山
杨玉环
妃子
杨贵妃
香港
张曦雯
天涯侠医
陈豪演员
院士
教授
阮少平
总顾问
阳气
寒邪
病根
夏季养生
短剧
张力
现代
名不虚传
北大
毕业
正骨
纯爱
恋恋
追剧热潮
奶粉
母乳
米汤
婴幼儿
张玄化
创业
留学
人生
沈惜凡
爱你
现偶剧
尴尬症
陈皮
穿搭
现代装
何苏叶
追剧
爱情剧
日本
外科
汉方
汉医
失眠
女经理
甜妹
江苏台
相信爱情
爱情故事
方剂
中药方
手术
囊肿
针刺
麻醉药
癌症患者
秘方
王晓
药王谷
抗癌中心
权健
股票
减税
体检
快递
业务量
天气
中国姑娘
奥运冠军
药用价值
白茅根
清热解毒
围城
卵子
三亚
外国游客
俄罗斯
黑木耳
红枣
绿茶
肝脏
鸡蛋



